Plaque pleurale

Définition : les plaques pleurales font référence à des épaississements localisés de la plèvre (= membrane qui recouvre les poumons et tapisse la cavité thoracique). Elles sont généralement associées à l’exposition à l’amiante et sont considérées comme un signe radiologique caractéristique de l’asbestose.

Terme anglais : pleural plaques.

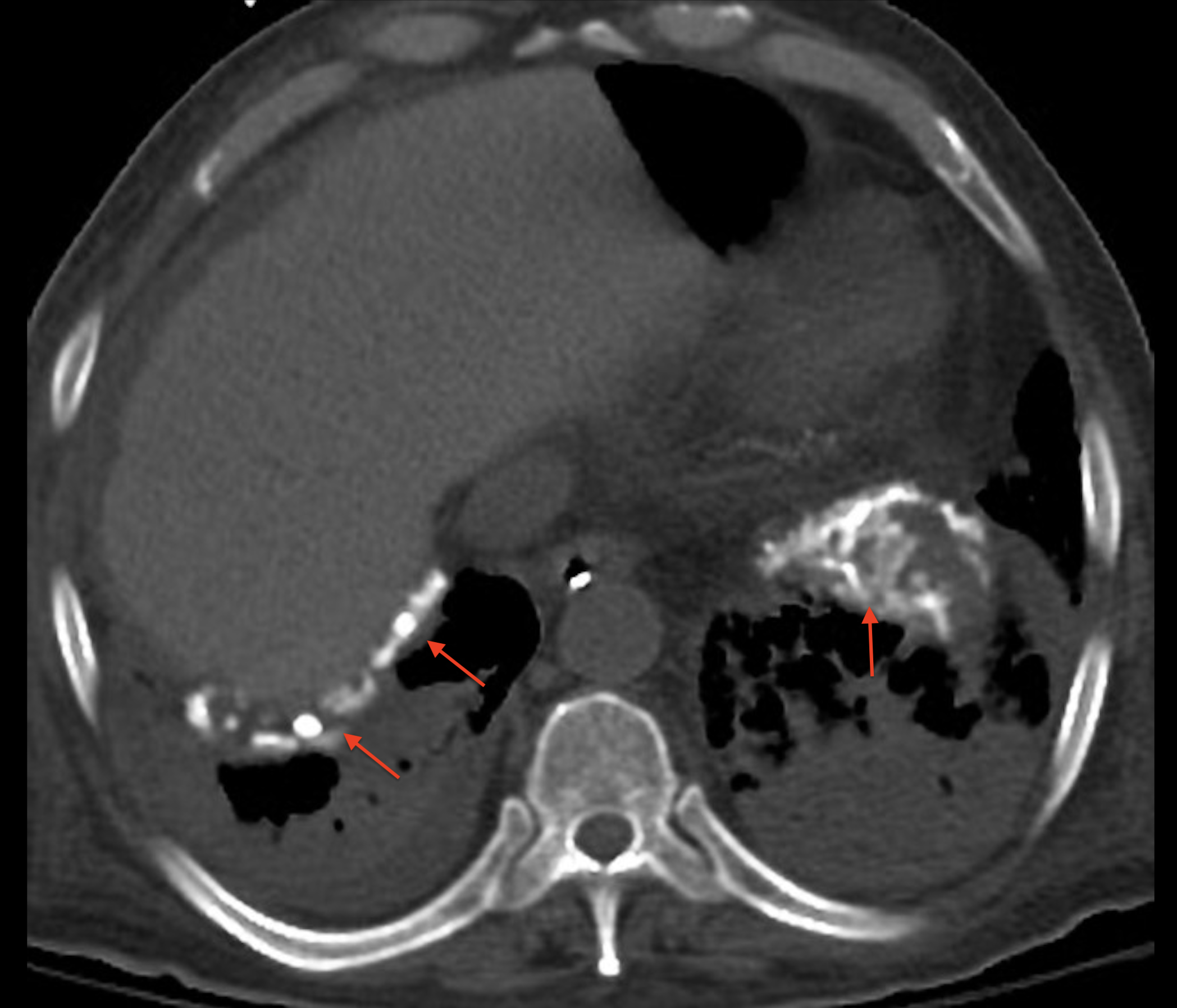
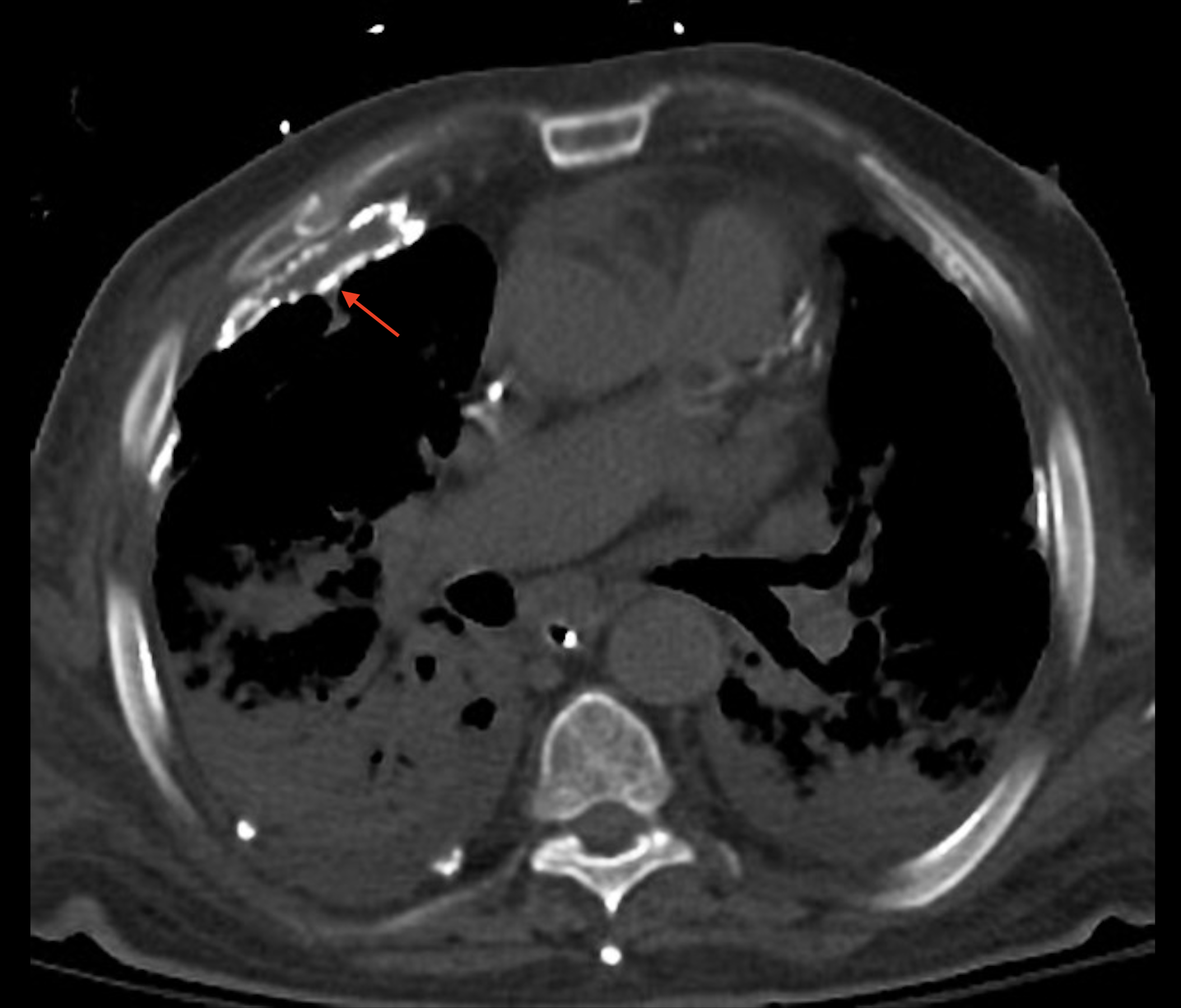
On reconnaît les plaques pleurales facilement lorsqu’elles sont multiples, volumineuse et calcifiée. À un stade précoce il faut attentivement analyser les contours de la plèvre périphérique, coupe par coupes dans les deux fenêtres parenchymateuses et médiastinales pour repérer un épaississement très modérée (quelques millimètres), visible sur parfois moins de 1 cm.

  • Radiographie conventionnelle : les plaques pleurales apparaissent comme des opacités bien délimitées, souvent bilatérales et symétriques. Elles se présentent sous la forme de bandes linéaires ou denses le long de la paroi thoracique, en particulier au niveau des régions costophreniques et des sillons interlobaires. La présence de calcifications dans les plaques peut également être observée.
  • Tomodensitométrie (scanner) : c’est l’examen le plus sensible pour détecter les plaques pleurales. Il permet une évaluation détaillée de leur taille, de leur distribution et de leur caractère calcifié. Les plaques apparaissent comme des épaississements de la plèvre avec une densité tissulaire, et peuvent être mieux visualisées grâce à la reconstruction multiplanaire.

Publié le

dans