Radiologie: les bases de l’interprétation pour les EDN.
-
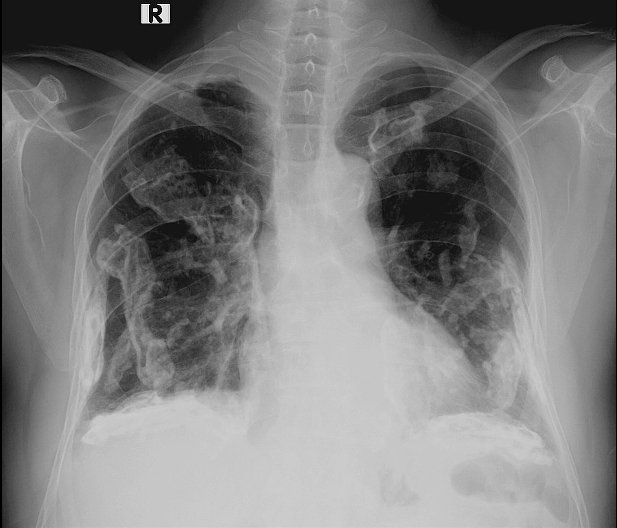
Aspect de rayon de miel
Définition : l’aspect en rayon de miel, également connu sous le terme anglais “honeycombing”, se caractérise par la présence de multiples petites cavités kystiques, organisées en plusieurs couches, séparées par des parois épaissies. On peut également observer un motif en forme de nid-d’abeilles. Cet aspect est identifiable sur les images obtenues par scanner thoracique en fenêtre […]
-

Plaque pleurale
Définition : les plaques pleurales font référence à des épaississements localisés de la plèvre (= membrane qui recouvre les poumons et tapisse la cavité thoracique). Elles sont généralement associées à l’exposition à l’amiante et sont considérées comme un signe radiologique caractéristique de l’asbestose. Terme anglais : pleural plaques. On reconnaît les plaques pleurales facilement lorsqu’elles sont […]
-

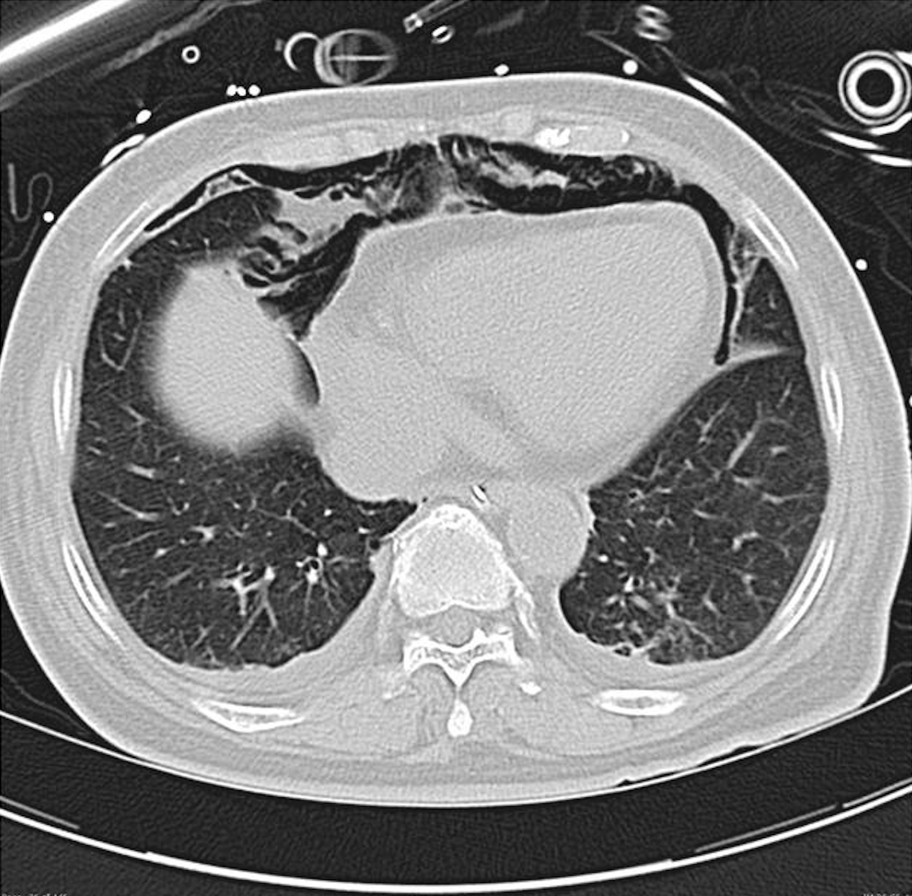
Pneumomédiastin
Définition : le pneumomédiastin correspond à la présence anormale d’air au sein du médiastin. Terme anglais : pneumomediastinum. Le pneumomédiastin peut être aisément identifié car il se caractérise par la présence d’air anormale dans la région du médiastin, où normalement seul l’œsophage contient de l’air. Lorsqu’une petite quantité d’air est détectée dans le médiastin, il est […]
-

Hématome sous-dural aigu
Définition : saignement récent (datant de moins de 7 jours) dans l’espace sous dural (entre dure-mère et arachnoïde). Terme anglais : acute subdural hemorrhage. Ce signe est mis en évidence par un scanner cérébral réalisé sans injection de produits de contraste. Il s’agit d’une hyperdensité située en dehors des hémisphères cérébraux qui, au niveau de […]
-

Aéroportie
Définition : présence d’air dans le système porte. Terme anglais : portal venous gas. L’aéroportie est diagnostiquée lorsque de l’air est visible à la périphérie du foie dans les branches intra-hépatiques du système portal. Il est important de distinguer l’aéroportie de l’aérobilie, où la visibilité des lignes d’air, plus centrales, s’arrête à une certaine distance […]
-
Aérobilie
Définition : présence d’air dans la lumière des voies biliaires. Terme anglais : aerobilia. L’aérobilie peut être identifiée par la présence de petites bulles d’air dans les voies biliaires, ou par la visualisation des voies biliaires extra et intra-hépatiques remplies d’air. Les lignes d’air ne sont visibles qu’à une certaine distance du bord externe du […]
-
Pseudokyste pancréatique
Définition : Un pseudokyste pancréatique est une collection circonscrite, soit à l’intérieur, soit à l’extérieur du pancréas. Il s’agit d’une véritable accumulation de liquide. Terme anglais : Pancreatic pseudocyst. Le pseudokyste apparaît comme une collection liquide, de forme arrondie ou ovalaire, bien délimitée par une paroi périphérique, sans rehaussement après l’injection de produits de contraste. […]
-
Réhaussement pancréatique hétérogène
Définition : caractéristiques de la prise de contraste du parenchyme pancréatique qui se fait de façon hétérogène avec une intensité variable d’un secteur pancréatique à l’autre. ang. : heterogenous pancreatic enhancement. Il est très simple de reconnaître le caractère hétérogène du rehaussement pancréatique puisque d’un secteur pancréatique à l’autre, la densité est nettement différente après […]
Vous avez des recommandations ?